
正应了那句话 口红再贵 牙黄白费 一口好看的牙齿 圈子 新氧美容整形

笑研所科普 天生就少了颗牙齿一定要正畸吗 健康服务 什么值得买

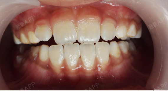
隐适美英国整牙经验帖 三个月神级矫正

職場小資女的請求 請推薦給我 Wish板 Disp Bbs
种植牙
牙齒矯正 貝爾牙醫齒顎矯正專科診所
植牙 西盛牙醫

先天性缺牙 在牙胚形成過程中未能發育和形成的牙稱為先天性缺牙 根據其嚴重 百科知識中文網

先天缺牙造成深咬的問題利用矯正與植牙恢復正常咬合 數位隱形牙齒矯正植牙牙齒美容速套微笑貝齒 碧礽 隨意窩
門牙天生缺牙了怎麼辦 Part I Oh So Beautiful 蔡佳君醫師 Facebook
下牙套9个月后对比 门牙突 天生缺4颗牙 牙齿矫正